045 8102902
Richiedi informazioni

Progenismo nell'adulto risolto con il solo apparecchio fisso

Progenismo nell'adulto risolto con il solo apparecchio fisso

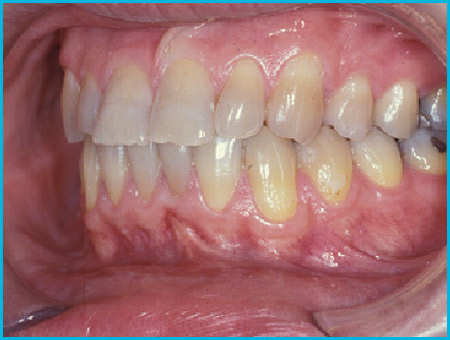
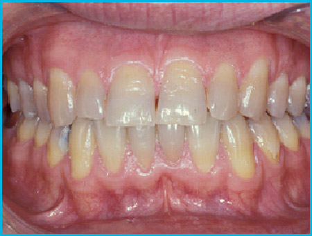
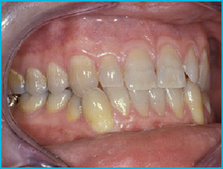
Il difetto del paziente è determinato da una malocclusione di terza classe con un affollamento dentario.

Operatore: Prof. Faccioni

1.Le fotografie mostrano che i denti inferiori oltre ad essere affollati sono posti più anteriormente rispetto al modello ideale.

2.Le proporzioni del viso risultano sostanzialmente corrette.

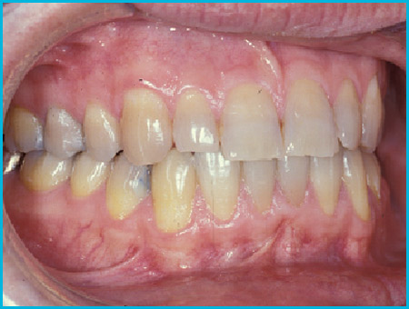
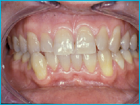
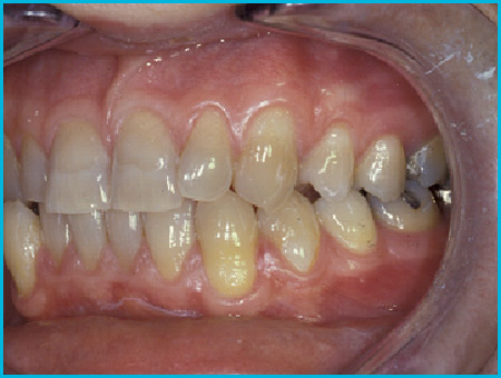
3.Grazie all'applicazione di un apparecchio fisso, sono stati portati indietro tutti i denti dell'arcata inferiore per poter allineare e inclinare correttamente gli incisivi inferiori.

4.Gli incisivi sono stati collocati nella posizione corretta, risolvendo il problema dell'affollamento.

5.Confronto dell’occlusione prima e dopo il trattamento.

6.Al termine della terapia il profilo è notevolmente migliorato e le labbra risultano più sostenute rispetto alla condizione iniziale.